Prävention, Diagnostik & Behandlung
Eine Vielzahl moderner Untersuchungsverfahren ermöglicht es uns, Ihre Herz- und Gefäßgesundheit umfassend zu beurteilen. Unser Ziel ist es, Veränderungen frühzeitig zu erkennen und gezielt gegenzusteuern – bevor Beschwerden oder Folgeschäden entstehen. Prävention steht dabei im Mittelpunkt unserer Arbeit: Durch sorgfältige Diagnostik können wir Risiken erkennen, Erkrankungen vorbeugen und Ihre individuelle Therapie optimal planen. Ob zur Vorsorge, Verlaufskontrolle oder bei bestehenden Herz-Kreislauf-Erkrankungen – die Untersuchungen in unserer Praxis bilden die Grundlage für eine sichere, persönliche und vorausschauende Betreuung Ihrer Herzgesundheit.

Ruhe-EKG
Das Elektrokardiogramm (EKG) ist eine grundlegende Untersuchung in der Kardiologie, um die elektrische Aktivität des Herzens zu messen und Herzrhythmusstörungen zuverlässig zu erkennen. In unserer Kardiologiepraxis in Heidelberg verwenden wir modernste, kabellose EKG-Systeme für eine besonders präzise und komfortable Aufzeichnung. Wir bieten Ruhe-EKGs, Belastungs-EKGs und Langzeit-EKGs an, um Herzfrequenz, Rhythmus und mögliche Durchblutungsstörungen umfassend zu beurteilen. Die Untersuchung ist schmerzfrei, schnell und liefert wichtige Informationen zur Früherkennung von Herz-Kreislauf-Erkrankungen. Nach der Aufzeichnung besprechen wir die individuellen Ergebnisse ausführlich mit Ihnen.

Blutdruckmessung
Blutdruckeinstellung
Die Blutdruckmessung ist ein Fundament der Herz-Kreislauf-Diagnostik. Wir führen präzise Blutdruckmessungen durch, um Bluthochdruck (arterielle Hypertonie) frühzeitig zu erkennen und optimal zu behandeln. Mithilfe moderner, teils kabelloser Messsysteme erfassen wir Ihren Blutdruck unter Ruhebedingungen oder über 24 Stunden hinweg, um ein genaues Bild Ihrer Werte zu erhalten. Auf der Grundlage der Ergebnisse entwickeln wir ein individuelles Therapiekonzept, das sowohl konservative Maßnahmen als auch die Einleitung, Überwachung und Anpassung einer medikamentösen Therapie umfasst. Ziel ist es, Herz, Gehirn und Gefäße langfristig zu schützen und Folgeerkrankungen wie Herzinfarkt oder Schlaganfall vorzubeugen. Ihre Behandlung erfolgt nach den aktuellen kardiologischen Leitlinien – sicher und persönlich.

Echokardiographie
Die Echokardiographie, auch Herzultraschall genannt, ist ein bildgebendes Verfahren, das eine detaillierte Beurteilung von Herzstruktur und Herzfunktion ermöglicht. Mithilfe moderner Ultraschalltechnik können Bewegungen der Herzwände und Klappen in Echtzeit dargestellt werden. Dabei lassen sich die Pumpfunktion des Herzens genau bestimmen, die Herzklappenfunktion zuverlässig beurteilen und Herzmuskelerkrankungen bereits in einem frühen Stadium erkennen. Die Untersuchung verläuft völlig schmerzfrei und ohne Strahlenbelastung. Sie liefert wertvolle Informationen für die Einschätzung der allgemeinen Herzgesundheit, die Planung individueller Therapien und die Kontrolle bestehender Herz-Kreislauf-Erkrankungen. So trägt sie wesentlich zur Früherkennung und gezielten Behandlung von Herzerkrankungen bei.

Stressechokardiographie
Ergometrie
Unter körperlicher Belastung zeigt das Herz oft Veränderungen, die in Ruhe nicht erkennbar sind – genau hier setzt die Stressechokardiographie an. Bei dieser Untersuchung wird die Herzfunktion während einer gezielten Belastung, meist auf einem Fahrradergometer, mittels Ultraschall in Echtzeit beobachtet. Gleichzeitig erfolgt eine kontinuierliche EKG-Aufzeichnung, um Herzrhythmusstörungen und Anzeichen einer Minderdurchblutung frühzeitig zu erkennen. So können Durchblutungsstörungen, Wandbewegungsstörungen des Herzmuskels oder belastungsabhängige Klappenveränderungen präzise beurteilt werden. Die Untersuchung zeigt, wie das Herz auf körperliche Anstrengung reagiert und ob eine eingeschränkte Pumpfunktion oder eine koronare Herzerkrankung besteht. Die Stressechokardiographie ist eine sichere, aussagekräftige und patientenschonende Methode zur Beurteilung der Herzleistungsfähigkeit.

Carotis-dopplersonographie
Die Carotis-Doppler-Untersuchung ist eine Ultraschallmethode zur Beurteilung der Halsschlagadern (Carotiden). Sie dient der Früherkennung von Gefäßverengungen, die das Risiko eines Schlaganfalls erhöhen können. In Deutschland sind jedes Jahr viele Schlaganfälle auf eine Verengung oder einen Verschluss der Halsschlagader zurückzuführen. Durch die Untersuchung lässt sich der Blutfluss in den Halsgefäßen messen und die Gefäßwandstruktur genau beurteilen. So können arteriosklerotische Veränderungen oder Plaques frühzeitig erkannt werden – oft noch bevor Beschwerden auftreten. Besonders sinnvoll ist die Untersuchung bei Risikofaktoren wie Bluthochdruck, Diabetes, erhöhten Blutfettwerten oder Rauchen. Der Carotis-Doppler ermöglicht eine gezielte Vorsorge und trägt langfristig zum Erhalt der Gefäßgesundheit bei.

Messung des
Ankle-Brachial-Index (ABI)
Die ABI-Messung (Ankle-Brachial-Index) dient der frühzeitigen Erkennung von Durchblutungsstörungen in den Beinen. Dabei wird der Blutdruck an den Armen und an den Fußknöcheln gemessen und anschließend das Verhältnis der Werte berechnet. Ein erniedrigter Index weist auf eine periphere arterielle Verschlusskrankheit (pAVK) hin, die auch als Schaufensterkrankheit bekannt ist. Betroffene bemerken häufig Schmerzen oder ein Ziehen in den Beinen beim Gehen, die in Ruhe wieder nachlassen. Die ABI-Messung ermöglicht eine zuverlässige Einschätzung der Gefäßsituation und ist ein wichtiges Verfahren zur Früherkennung von Durchblutungsstörungen und zur Beurteilung des allgemeinen Gefäßzustands.

Langzeit-EKG
24 Stunden bis 7 Tagen
Beim Langzeit-EKG erfassen wir Ihre Herzaktivität über einen Zeitraum von 24 Stunden bis zu 7 Tagen. Dabei verwenden wir moderne, kabellose Systeme, die eine besonders bequeme und alltagstaugliche Untersuchung ermöglichen – ohne störende Kabel oder Geräte. Durch die kontinuierliche Aufzeichnung lassen sich Herzrhythmusstörungen, längere Pausen und unregelmäßige Herzschläge zuverlässig erkennen, auch wenn sie nur gelegentlich auftreten. Zusätzlich ermöglicht die Auswertung der Herzfrequenzvariabilität wertvolle Einblicke in das Herz-Kreislauf-System. Das Langzeit-EKG dient zudem dem Screening auf Vorhofflimmern, einer häufigen Ursache von Schlaganfällen, und leistet damit einen wichtigen Beitrag zur Schlaganfallprophylaxe.

Messung der arteriellen Pulswellen-geschwindigkeit
Die Messung der arteriellen Pulswellengeschwindigkeit ist ein modernes, nicht-invasives Verfahren zur Beurteilung der Gefäßelastizität und damit ein wichtiger Marker für die Gefäßgesundheit. Dabei wird die Geschwindigkeit ermittelt, mit der sich die Pulswelle durch die Arterien fortpflanzt. Steife oder verkalkte Gefäße leiten die Pulswelle schneller weiter – ein Hinweis auf eine verminderte Elastizität und beginnende Arteriosklerose. Diese Untersuchung ermöglicht eine frühzeitige Einschätzung des biologischen Gefäßalters und des individuellen Risikos für Herz-Kreislauf-Erkrankungen. Sie eignet sich besonders für die Prävention und Verlaufskontrolle bei Bluthochdruck, Diabetes oder bestehenden Gefäßerkrankungen und unterstützt eine gezielte und vorbeugende Therapieplanung.

Lungenfunktionstest
(Spirometrie)
Der Lungenfunktionstest, auch Spirometrie genannt, dient der genauen Messung der Atemleistung und Lungengesundheit. Dabei werden Atemvolumen, Luftfluss und die Beweglichkeit der Atemwege bestimmt. So können frühzeitig Erkrankungen wie Asthma, COPD oder chronische Bronchitis erkannt und deren Verlauf kontrolliert werden. Die Spirometrie ist zudem ein wichtiger Bestandteil der kardiologischen Diagnostik, da Herz- und Lungenfunktion eng miteinander verbunden sind. Durch die Untersuchung lassen sich Belastbarkeit, Sauerstoffversorgung und Atemmuster zuverlässig beurteilen. Der Lungenfunktionstest dauert nur wenige Minuten und liefert wertvolle Informationen zur Prävention, Therapieplanung und Beurteilung der allgemeinen Herz-Lungen-Leistungsfähigkeit.

Langzeit-Blutdruckmessung
(24 Stunden)
Die Langzeit-Blutdruckmessung über 24 Stunden ermöglicht eine präzise und realitätsnahe Beurteilung Ihres Blutdruckverlaufs im Alltag. Dabei wird der Blutdruck in regelmäßigen Abständen automatisch gemessen – tagsüber und während des Schlafs. So lassen sich Bluthochdruck, nächtliche Blutdruckanstiege oder eine unzureichende medikamentöse Einstellung zuverlässig erkennen. Die Untersuchung hilft, das Risiko für Herz-Kreislauf-Erkrankungen frühzeitig einzuschätzen und eine individuelle Therapie zu planen. Durch die Auswertung der Messwerte kann entschieden werden, ob eine Behandlung notwendig ist oder bestehende Medikamente angepasst werden sollten. Die Langzeit-Blutdruckmessung liefert wichtige Informationen zur Prävention und Kontrolle von Bluthochdruck und Gefäßerkrankungen.

Blutabnahme
Laboruntersuchung
Gezielte Laboruntersuchungen sind ein zentraler Bestandteil der kardiologischen Diagnostik und Vorsorge. Durch die Analyse von Blut- und Stoffwechselwerten lassen sich wichtige Hinweise auf Herz-Kreislauf-Erkrankungen, Entzündungen oder Stoffwechselstörungen gewinnen. Bestimmt werden unter anderem Blutfette, Blutzucker, Nieren- und Leberwerte sowie spezifische Herzmarker wie Troponin oder NTproBNP. Diese Parameter helfen, Risikofaktoren wie Diabetes, Fettstoffwechselstörungen oder Bluthochdruck frühzeitig zu erkennen und individuell zu behandeln. Regelmäßige Blutuntersuchungen ermöglichen zudem die Überwachung laufender Therapien und die Bewertung des Behandlungserfolgs. Die Ergebnisse bilden eine wertvolle Grundlage für eine präzise Diagnostik, effektive Prävention und eine auf Sie abgestimmte kardiologische Betreuung.
in Kooperation ...
Folgende Untersuchungen und Behandlungen führen wir in Kooperation mit
dem Herzzentrum des Universitätsklinikums Heidelberg durch:

Transosöphageale Echokardiographie (TEE)
Die transösophageale Echokardiographie, kurz TEE, ist eine spezialisierte Form des Herzultraschalls, bei der die Schallsonde über die Speiseröhre (Ösophagus) in die Nähe des Herzens gebracht wird. Dadurch entstehen besonders detailreiche Bilder der Herzstrukturen, der Herzklappen und der großen Gefäße. Diese Methode ermöglicht die exakte Beurteilung von Klappenfehlern, Entzündungen, Blutgerinnseln oder angeborenen Herzfehlern, die mit der äußeren Echokardiographie oft nicht sichtbar sind. Die Untersuchung erfolgt unter örtlicher Betäubung des Rachens.
Diese Untersuchung führen wir in Kooperation mit dem Herzzentrum des Universitätsklinikums Heidelberg durch.

Herz- / Koronar-CT
Die Koronar-Computertomographie (CT) ist ein modernes, nicht-invasives Verfahren zur detaillierten Darstellung der Herzkranzgefäße. Mithilfe hochauflösender Röntgentechnologie und der Gabe eines Kontrastmittels können Verkalkungen, Engstellen oder Ablagerungen in den Koronararterien frühzeitig erkannt – oder im besten Fall sicher ausgeschlossen – werden. Die Untersuchung dient der weiterführenden Abklärung bei auffälligen Befunden in der kardiologischen Diagnostik oder bei Beschwerden, die auf eine verengte Herzkranzgefäßerkrankung (stenosierende KHK) hinweisen könnten. Die Koronar-CT liefert wertvolle Informationen zur Einschätzung des individuellen Risikos und unterstützt eine gezielte, präzise und schonende Diagnostik von Herz-Kreislauf-Erkrankungen. Die Durchführung erfolgt in kooperierenden Zentren.

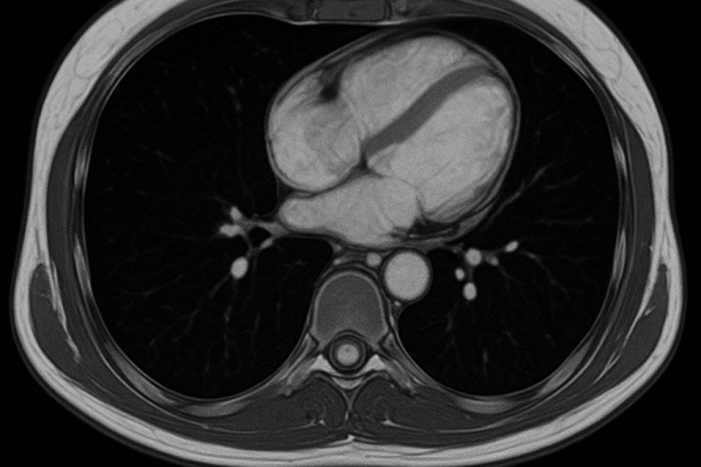
Herz-MRT
Das Herz-MRT (Kardio-MRT) ist ein modernes, strahlenfreies Verfahren zur detaillierten Beurteilung von Herzstruktur und Herzfunktion. Mithilfe starker Magnetfelder und Radiowellen lassen sich die Herzkammern, Herzklappen und der Herzmuskel präzise darstellen. Die Untersuchung ermöglicht die Erkennung von Durchblutungsstörungen, Herzmuskelerkrankungen (Kardiomyopathien), Entzündungen oder Narben nach einem Herzinfarkt. Auch die Pumpfunktion und die Gewebebeschaffenheit des Herzens können genau analysiert werden. Das Herz-MRT dient sowohl der Diagnose als auch der Verlaufskontrolle vieler Herzerkrankungen und unterstützt eine gezielte Therapieplanung.

Herzschrittmacher
Defibrillatoren
Herzschrittmacher und implantierbare Defibrillatoren (ICD) sind wichtige Therapieoptionen bei bestimmten Herzrhythmusstörungen oder einer eingeschränkten Herzfunktion. Sie unterstützen oder regulieren den Herzrhythmus zuverlässig und tragen wesentlich zur Verbesserung der Lebensqualität und Sicherheit der Patientinnen und Patienten bei. In unserer Praxis erfolgt die umfassende Diagnostik und Beurteilung der Notwendigkeit eines solchen Systems. Wenn eine Implantation empfohlen wird, erfolgt diese in Kooperation mit dem Herzzentrum des Universitätsklinikums Heidelberg. Auch die regelmäßige Kontrolle und Nachsorge der Geräte übernehmen wir gemeinsam, um eine optimale Funktion und individuelle Anpassung der Therapie sicherzustellen.

Kardioversionen
Die Kardioversion dient der Wiederherstellung eines normalen Herzrhythmus bei bestimmten Herzrhythmusstörungen, meist bei Vorhofflimmern oder Vorhofflattern. Je nach Situation erfolgt die Behandlung entweder medikamentös oder elektrisch. Bei der elektrischen Kardioversion wird unter kurzer, schonender Narkose ein gezielter Stromimpuls abgegeben, um den Herzrhythmus zu normalisieren. Nach dem Eingriff erfolgt eine kurze Überwachungsphase, anschliessend kann die Entlassung in der Regel noch am selben Tag erfolgen. Vor dem Eingriff wird häufig eine transösophageale Echokardiographie (TEE) durchgeführt, um Blutgerinnsel im Herzen auszuschließen und die Sicherheit der Behandlung zu gewährleisten.

Herzkatheter
Die Herzkatheteruntersuchung ist ein minimalinvasives Verfahren der interventionellen Kardiologie und ermöglicht eine präzise Beurteilung sowie gezielte Behandlung von Erkrankungen der Herzkranzgefäße, Klappenfehlern, Herzrhythmusstörungen und Herzmuskelschwäche. Dabei werden beispielsweise die Herzkranzgefäße mittels Kontrastmittel und Röntgenstrahlen dargestellt, und falls erforderlich, können Gefäßverengungen mittels Ballon und anschließender Implantation von medikamentenbeschichteten Stents behandelt werden. Auch die minimalinvasive Reparatur oder Implantation von Herzklappen ist in vielen Fällen heutzutage möglich. Aufgrund unserer langjährigen Erfahrung in der interventionellen Kardiologie stellt diese Methode einen Schwerpunkt unserer Praxis dar. Die Untersuchung führen wir persönlich in den hochspezialisierten Herzkatheterlaboren der Universitätsklinik Heidelberg durch.

